23 Nis
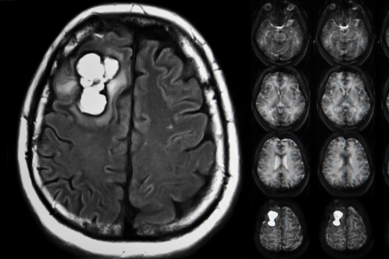
Her beyin tümörü aynı değildir. Belirtilerden tedaviye, patoloji raporundan prognoza kadar hastalar ve yakınları için sade bir anlatımla açıklıyoruz.
Devamını Okuyun28 Kas
Beyin tümörünün bulunduğu bölgeye göre kalıcı ve geçici beyin hasarı kalabilir. Bazı durumlarda tümör beyne zarar verebilir.
Devamını Okuyun4 Eki
Beyin biyopsisi şüpheli neoplastik lezyonların tanısında, etyolojisi bilinmeyen nörolojik hastalıklarda tanı ve tedavi amacıyla uygulanmaktadır.
Devamını Okuyun22 May
Baş ağrısı, mide bulantısı, kusma, el veya kolda güç kaybı, sara nöbeti beyin tümörü belirtilerindendir.
Devamını Okuyun11 Eki
Beyin tümörü ameliyatı süreci, riskleri, kullanılan teknolojiler ve iyileşme süreci hakkında detaylı bilgiler
Devamını Okuyun