

4 dk
TEDAVİLER
OP. DR. CANER SARIKAYA
Ameliyatsız bel fıtığı tedavisi, cerrahi müdahale gerektirmeyen bel fıtığı tedavisi, daha az invaziv yöntemlerle hastanın şikayetlerini azaltmayı ve yaşam kalitesini artırmayı amaçlayan uygulamalardır. Bu tedavilerle hedeflenen, sinir üzerindeki baskıyı azaltmak, ağrıyı kontrol altına almak ve fıtığın ilerlemesini durdurmaktır.
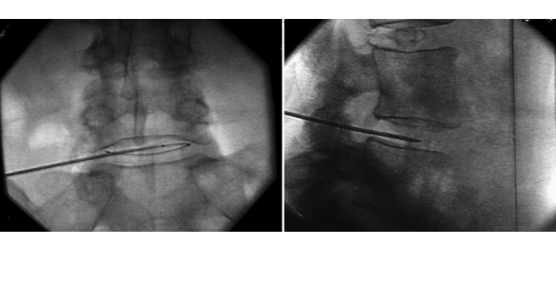
Transforaminal epidural enjeksiyon (TFESE), omurga sinir köklerinin çıktığı foramen adı verilen açıklıktan, inflamasyonu azaltmak amacıyla anestetik ve steroid karışımı enjeksiyon yapılmasıdır. Bu işlem, sinire doğrudan etki ederek ağrının kaynağını hedef alır. Floroskopik (X‑ray) rehberlik ile yüksek hassasiyetle uygulanır; iğne, direkt sinir kökü yakınlarına yönlendirilir
Bu enjeksiyon tipi özellikle şu durumlarda tercih edilir:
Seri çalışmalara göre transforaminal yaklaşım, sinir kökü yakınlığı sayesinde interlaminar veya kaudal yaklaşım kadar etkili bulunmakta; özellikle ilk iki hafta içinde daha hızlı rahatlama sağlar.
Uygulama Sonrası – Ne Beklenmeli?:
Radiofrequency thermocoagulation (RFTC) veya radiofrequency ablation (RFA), faset eklemden gelen medial branş sinirlerini ısı kullanarak koagüle eden bir ağrı tedavi yöntemi. Sinir iletimi geçici olarak kesilerek 6–12 ay boyunca ağrı azalması sağlanır.
Endikasyonlar
Etki & Geri Dönüş Süreci
Nükleoplasti işlemi lokal anestezi altında, ameliyathane ortamında gerçekleştirilir. İnce bir iğne yardımıyla diske ulaşılır ve radyofrekans enerjisi kullanılarak içerideki basınç azaltılır. İşlem yaklaşık 20–30 dakika sürer. Hasta genellikle birkaç saat içinde taburcu edilir. Ağrı düzeyine göre 1-2 gün istirahat önerilir. İşlem sonrası fizik tedavi desteği, iyileşme sürecini hızlandırır.
Nükleoplasti Sonrası Beklenen Süreç
Ağrı Kontrolü
İlk 24 saat içinde hastaların büyük bir kısmında belirgin ağrı azalması görülür. Etki süresi, kişinin omurga sağlığına gösterdiği özenle doğrudan ilişkilidir.
Fizik Tedavi ve Egzersiz Süreci
İşlem sonrası bel kaslarını güçlendirmek amacıyla fizik tedavi ve düzenli egzersiz önerilir. Bu süreç, tedavi başarısını artırır.
Olası Yan Etkiler
Patlamış Bel Fıtığı Ameliyatsız İyileşir Mi?
Bel ağrısı ve bacağa vuran ağrı şikayetiyle beyin cerrahisi polikliniğimize başvuran hasta sayısı oldukça fazladır. Önceleri 100 hastadan sadece 2’si ameliyat edilirken, günümüzde bu iki hasta bile çoğunlukla ameliyatsız yöntemlerle başarılı şekilde tedavi edilebilmektedir.
Bel Fıtığı Ameliyatsız Nasıl Kurtulur?
Bel ve bacak ağrısı yaşayan hastalara uyguladığımız lokal ağrı tedavisiyle oldukça başarılı sonuçlar elde ediyoruz. Bu tedavi, akut dönemde ağrının kontrolünü, kronik dönemde ise fıtığın küçülmesini hedefler. Yan etkisi olmayan bu işlem, sadece kan sulandırıcı kullanan hastalar için özel hazırlık gerektirir.
Ameliyatsız Fıtık Tedavisi Hangi Hastalar İçin Uygundur?
Tedavi planlamasında hastanın şikayetleri, yaşı, şikayet süresi ve MR bulguları oldukça önemlidir. İleri düzeyde dar kanal veya bel kayması olan hastalarda bu tedavi sadece geçici rahatlama sağlayabilir. Şikayetleri uzun süredir devam eden ve daha önce tedavi almamış hastalarda fıtık zamanla sertleşebilir ve tedaviye yanıt azalabilir. Yaşı ileri, anestezi riski yüksek, güç kaybı veya idrar/büyük abdest kaçırması olmayan hastalar için ameliyatsız tedavi, cerrahi öncesi etkili bir seçenek olabilir.
Ameliyatsız Fıtık Tedavisi Geçici Mi?
Hastalarımızın en sık sorduğu sorulardan biri, bu tedavinin kalıcı olup olmadığıdır. Elde edilen faydanın süresi tamamen hastaya bağlıdır. Eğer hasta bel fıtığına sebep olan durumlardan uzak durur ve düzenli egzersiz yaparsa, tedavinin etkisi uzun süre devam eder.
Tedavi Sonrası Ağrılarım Tekrarlar Mı?
Omurgaya aşırı yük bindiren durumlar – uzun süre oturma, kilo alımı, ağır yük kaldırma – ağrıların tekrar etmesine yol açabilir. Bu nedenle yaşam tarzı değişiklikleri tedavi kadar önemlidir.
Ameliyatsız Bel Fıtığı Tedavisi Sonrası
Bu işlem sonrası fizik tedavi alınmasında bir sakınca yoktur. İlk 24 saatte %80 oranında ağrı azalması görülür, bu oran genellikle 3 gün içinde daha da artar. Hastaya 15 gün istirahat önerilir. 3 ay sonra yapılan MR’da fıtığın küçüldüğü gözlemlenir. Tedavi süresince hastayla yakın iletişimde kalınır; ağrının artması, güç kaybı veya idrar kaçırma gibi durumlar oluşursa cerrahi seçenek değerlendirilir. 15. günde yapılan kontrolde hastaya “Ameliyat olmak istiyor musunuz?” diye sorarız. %80 oranında “hayır” cevabı alınır; aksi durumda cerrahi planlaması yapılır.
Ameliyatsız Fıtık Tedavisi Hangi Hastalarda Faydalıdır?
Tedavi başarısı; hastanın şikayetleri, yaşı, süresi ve MR bulgularına göre değişir. İleri düzeyde dar kanal veya bel kayması olan, şikayetleri uzun süredir devam eden ve tedavi almamış hastalarda sonuçlar sınırlı olabilir. Bu nedenle erken müdahale önemlidir.
Ameliyatsız Bel Fıtığı Tedavisi Ücreti Ne Kadar?
Hastanemiz, SGK, tamamlayıcı sağlık sigortası (TSS) ve özel sağlık sigortaları (ÖSS) ile anlaşmalıdır. Özel sigortalı hastalar, sigorta limitleri dahilinde ve Türk Tabipler Birliği fiyatlarına göre tedavi edilmektedir. Mesleki etik gereği, ameliyat ve tedavi ücretleri dijital ortamda açık şekilde paylaşılmamaktadır.
Detaylı bilgi için bizimle iletişime geçebilirsiniz.
Bel fıtığı tedavisi, hastalığın şiddetine göre istirahat, fizik tedavi, ilaç tedavisi veya cerrahi müdahaleyi içerebilir.

Bel Fıtığı Ameliyatı
Bel fıtığı ameliyatında sinir üzerindeki baskıyı kaldırmak amacıyla fıtıklaşmış disk materyali mikrocerrahi yöntemle çıkarılır.

Dar Kanal Ameliyatı
Dar kanal ameliyatında omurilik ve sinir kökleri üzerindeki baskıyı azaltmak için mikrocerrahi yöntem ile omurga kanalını genişletmeye yönelik cerrahi müdahale yapılır.
