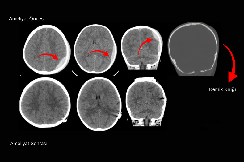
Dekompresif kraniektomi, ağır beyin travması, ağır inme ya da kontrol altına alınamayan beyin ödemi durumlarında uygulanan hayat kurtarıcı bir cerrahi yöntemdir.
Bu işlemde kafatasının bir bölümü geçici olarak çıkarılarak beynin şişmesine yer açılır ve artmış kafa içi basıncı düşürülür. Amaç, beyin sapı basısını ve geri dönüşümsüz hasarı önlemektir. Çıkarılan kemik parçası genellikle uygun koşullarda saklanır ve hasta stabilize olduktan haftalar ya da aylar sonra kranioplasti ile tekrar yerine yerleştirilir. Özellikle medikal tedaviye rağmen basıncı kontrol edilemeyen hastalarda dekompresif kraniektomi, yaşam şansını artıran önemli bir cerrahi seçenektir.
Dekompresif kraniektomi genellikle BT’de belirgin orta hat kayması (shift), bazal sisternlerde silinme ve ciddi beyin ödemine bağlı kitle etkisi görülen hastalarda uygulanır. Bu bulgular, artmış kafa içi basıncının beyin dokusunu karşı tarafa ittiğini ve beyin sapı basısı riskinin oluştuğunu gösterir. Cerrahi sırasında kafatasının bir bölümü çıkarılarak beyne genişleme alanı sağlanır ve bu sayede bası azaltılır, serebral perfüzyon korunur.
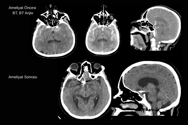
Özellikle masif akut subdural hematom olgularında hematom boşaltıldıktan sonra beyin dokusunda ciddi ödem gelişmişse kemik flep hemen yerine konulamayabilir. Bu durumda kemik geçici olarak çıkarılır ve hasta stabilize edildikten haftalar ya da aylar sonra kranioplasti ile tekrar yerine yerleştirilir. Amaç, erken dönemde beyin şişmesine karşı yeterli alan tanıyarak sekonder hasarı önlemektir.
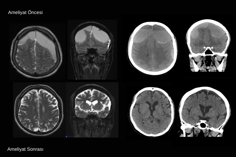
Glasgow Koma Skalası 10 olan hastalar orta dereceli travma grubunda yer alır ve ağır travmalara göre nörolojik iyileşme potansiyelleri daha yüksektir. Bu hastalarda artmış kafa içi basıncı medikal tedaviye rağmen kontrol altına alınamazsa uygulanan dekompresif kraniektomi, beyin dokusunu sekonder hasardan koruyarak prognozu belirgin şekilde iyileştirebilir. Özellikle erken dönemde yapılan cerrahi müdahale, beyin sapı basısını önler, serebral perfüzyonu artırır ve kalıcı nörolojik defisit riskini azaltır. GKS 10 düzeyindeki hastalarda beyin fonksiyonlarının tamamen kaybolmamış olması, cerrahi sonrası fonksiyonel toparlanma şansını artıran önemli bir avantajdır.
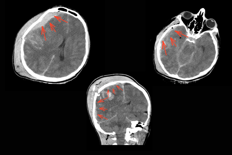
Malign MCA enfarktı çoğu zaman tek başına geniş bir beyin yarım küresini etkilerken, bazı olgularda tabloya ICA (Internal Carotid Artery) oklüzyonu da eşlik edebilir. ICA tıkanıklığında hem MCA hem de anterior serebral arter (ACA) sulama alanları etkilenebilir ve ortaya çıkan enfarkt alanı çok daha geniş olur. Bu durum BT’de yaygın hipodens alan, belirgin beyin ödemi, ciddi orta hat kayması (shift), ventrikül basısı ve bazal sisternlerin silinmesi ile kendini gösterir. Klinik olarak hızla bilinç bozulması gelişir ve beyin sapı herniasyonu riski artar.
Medikal tedaviye rağmen kötüleşen bu hastalarda uygulanan dekompresif kraniektomi, artmış kafa içi basıncını azaltarak hayatta kalma şansını artırır. Özellikle erken dönemde yapılan cerrahi, genç ve önceden bağımsız hastalarda mortaliteyi belirgin şekilde düşürür. Ancak ICA düzeyindeki geniş enfarktlar daha büyük beyin dokusu kaybına yol açtığı için fonksiyonel prognoz MCA’ya göre daha ağır olabilir. Buna rağmen uygun hasta seçimi ve zamanında cerrahi müdahale, yaşam kurtarıcı bir seçenek olarak önemini korur.










