
2 min
BLOG
Op. Dr. Caner Sarıkaya
Beyin ameliyatı, beyin tümörü, beyin kanaması, subaraknoid kanama (SAK), akut subdural kanama, kronik subdural hematom ve dekompresif kraniektomi gibi ciddi nörolojik hastalıkların tedavisinde uygulanan hayati bir cerrahi girişimdir. Günümüzde beyin tümörü ameliyatı, kapalı beyin ameliyatı teknikleri, mikroskopik cerrahi ve ileri nöro-navigasyon sistemleri sayesinde daha güvenli ve başarılı şekilde gerçekleştirilmektedir.
Beyin ameliyatı süreci; ameliyat öncesi değerlendirme, cerrahi teknik seçimi, ameliyat riskleri, yoğun bakım takibi ve beyin ameliyatı sonrası iyileşme süreci olmak üzere çok aşamalı bir planlama gerektirir. Özellikle beyin ameliyatı sonrası iyileşme, ameliyatın türüne, hastanın yaşına ve ek hastalıklarına göre değişiklik gösterir.
Bu kapsamlı rehberde;
gibi en çok aranan sorulara detaylı ve uzman bakış açısıyla yanıt bulabilirsiniz.
Beyin ameliyatı hakkında doğru bilgiye ulaşmak, bilinçli karar vermek ve süreci güvenle yönetmek için aşağıdaki başlıkları dikkatle inceleyin.
Beyin tümörü ameliyatı, tümörün tipi, boyutu, konumu ve hastanın genel sağlık durumu gibi faktörlere bağlı olarak planlanan, hassasiyet gerektiren bir cerrahi müdahaledir. Bu ameliyatın temel amacı, tümör dokusunu mümkün olan en genis şekilde çıkarmak ve sağlıklı beyin dokusuna zarar vermemektir. Genellikle "kraniyotomi" adı verilen cerrahi teknikle kafatasında geçici bir açıklık oluşturularak tümöre erişim sağlanır, ameliyat tamamlandıktan sonra bu kemik parçası tekrar yerine yerleştirilir. Bazı tümörler ise gelişen teknoloji sayesinde minimal invaziv yöntemlerle tedavi edilebilmektedir.
Ameliyat süreleri tümörün karmaşıklığına ve konumuna göre farklılık gösterirken, genellikle birkaç saat sürebilir. Saç kesimi, sadece cerrahi alanla sınırlı tutulur. Ameliyat sonrasında geçici baş ağrıları, yorgunluk, hafıza sorunları veya hareket bozuklukları gibi etkiler görülebilir ancak bu semptomlar uygun tedavi ve rehabilitasyon ile azalır.
Kötü huylu tümörlerde cerrahi genellikle radyoterapi ve kemoterapiyle birlikte uygulanarak hastanın yaşam süre ve kalitesini artırmayı hedefler. Son yıllarda kullanılan genetik testler ve kişiselleştirilmiş tedavi yaklaşımları sayesinde beyin tümörü tedavisinde başarı oranı yükseldiği gibi, hasta sağlığı da daha etkili biçimde korunabilmektedir.
Glial tümörler (özellikle GBM), meningiomlar ve beyne metastaz yapan tümörler için beyin tümörü ameliyatı, tümörün biyolojik davranışına ve beyin içindeki yerleşimine göre farklı cerrahi stratejiler gerektirir.
Glial tümörlerde amaç, infiltratif yayılım gösteren hücreleri mümkün olan en geniş ve güvenli şekilde çıkararak tümör yükünü azaltmaktır; bu süreçte nöronavigasyon, fonksiyonel beyin haritalama ve ileri görüntüleme teknikleri kullanılır.
Meningiom cerrahisinde genellikle sınırları daha belirgin olan tümör tamamen çıkarılabilirken, kritik damar ve sinir yapılarına komşuluk cerrahi planlamayı belirler.
Metastatik beyin tümörlerinde ise özellikle tek ve büyük lezyonlarda cerrahi, hem tanı koymak hem de kitle etkisini azaltarak hızlı nörolojik rahatlama sağlamak amacıyla uygulanır. Bu ameliyatların ortak noktası, ameliyat öncesi yapılan detaylı görüntüleme ve segmentasyon çalışmalarıyla tümör sınırlarının netleştirilmesi, tümör komşuluğunun dikkatle değerlendirilmesi ve maksimum güvenli rezeksiyon hedeflenerek fonksiyonel beyin dokusunun korunmasıdır.
Beyin tümörü tedavisinde tercih edilen cerrahi yöntem, tümörün yerleşimi ve yapısal özelliklerine bağlı olarak belirlenir. "Kapalı beyin ameliyatı" olarak bilinen endoskopik hipofiz cerrahisi, hipofiz bezine yerleşmiş tümörlerin tedavisinde kullanılan ve burun yoluyla erişim sağlanan minimal invaziv bir tekniktir.
Hipofiz adenomları hormon salgılama durumuna göre farklı klinik tablolar oluşturur ve cerrahi endikasyon buna göre belirlenir. ACTH salgılayan adenomlar Cushing hastalığına yol açarak kilo artışı, yüzde yuvarlaklaşma, hipertansiyon ve diyabet gibi ciddi sistemik sorunlara neden olur; bu hastalarda temel tedavi seçeneği cerrahidir. Büyüme hormonu salgılayan adenomlar akromegaliye neden olur ve el-ayak büyümesi, çene belirginleşmesi, kalp ve metabolik problemlerle seyreder; cerrahi, hormon düzeylerini hızlı şekilde düşürmek için ilk basamaktır. Non-fonksiyonel hipofiz adenomları ise hormon salgılamaz ancak büyüyerek görme sinirine baskı yapabilir; görme alanı kaybı, baş ağrısı veya tümörün belirgin büyümesi durumunda ameliyat endikasyonu doğar.
Tüm bu durumlarda cerrahinin amacı tümörü güvenli şekilde çıkararak hem hormon dengesini sağlamak hem de nörolojik basıyı ortadan kaldırmaktır.
Endoskopik hipofiz ameliyatlarında dışarıdan kesi yapılmaz; endoskop adı verilen yüksek çözünürlüklü kamera sistemi sayesinde burundan kafa tabanına girilerek tümör dokusuna ulaşılır. Beyin dokusuna temas minimum düzeyde olduğu için hastaların iyileşme süreci genellikle daha hızlıdır ve hastanede kalış süresi daha kısadır.
Bu ameliyat sonrası, burun kanaması, burundan şeffaf renkte sıvı gelmesi gibi durumlar olabilir. Cerrahi alanın burun içinden geçilerek oluşturulması nedeniyle mukozal iyileşme sürecinde hafif sızıntı tarzında kanamalar olabilir. Çoğu zaman bu kanamalar kendiliğinden durur ve ciddi bir müdahale gerektirmez; ancak yoğun, pıhtılı veya durmayan kanamalarda mutlaka hekime başvurulmalıdır.
Endoskopik kafa tabanı ameliyatı, hipofiz cerrahisi sonrası BOS rinore gelişebilir. Şeffaf, su gibi burun akıntısı şeklinde ortaya çıkan bu durum erken fark edildiğinde başarılı şekilde tedavi edilebilir. Düzenli takip, burun içi basıncını artıracak zorlayıcı hareketlerden kaçınma ve hekimin önerilerine uyum, iyileşme sürecini güvenli şekilde tamamlamak açısından büyük önem taşır.
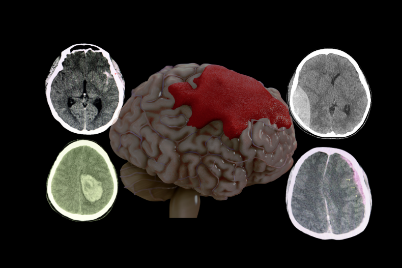
Beyin kanaması ameliyatı, beyin içinde ya da beyin zarları arasında meydana gelen kanamanın, beyin dokusuna baskı yaparak hayati tehlike oluşturması durumunda uygulanan acil bir cerrahi müdahaledir. Beyin kanamaları çoğunlukla travma, anevrizma yırtılması veya tansiyon yüksekliği gibi nedenlerle oluşur. En yaygın kanama türleri epidural, subdural ve subaraknoid kanamalardır. Kanamanın şekline, büyüklüğüre ve beyin içindeki etkisine göre farklı cerrahi yöntemler uygulanabilir.
Epidural hematom, kafatası (kranium) ile dura mater arasında kan birikmesi sonucu oluşan ve kafa travmalarından sonra görülen en acil beyin kanamalarından biridir. Vakaların yaklaşık %90’ında eşlik eden kafatası kırığı bulunur ve en sık neden temporal kemik kırıklarına bağlı orta meningeal arter yaralanmasıdır. Travma sonrası tipik olarak hastada kısa süreli bilinç kaybı olur, ardından bilinç açılır ve bir süre iyi görünür; bu döneme “lucid interval” (lusid interval) denir. Ancak sonrasında hızla tekrar bilinç kaybı gelişebilir.
Klinikte şiddetli baş ağrısı, kusma, bilinç değişikliği ve pupilla farklılığı görülebilir. Bilgisayarlı tomografi (BT) tanıda altın standarttır ve genellikle bikonveks (mercek şeklinde) hiperdens bir kanama alanı izlenir. Kitle etkisi, orta hat kayması (shift), bilinç bozulması veya hematom kalınlığının 1 cm’den büyük olması durumunda acil cerrahi müdahale gerekir.
Bu cerrahi işlemde, kanamanın olduğu bölgeye uygun şekilde kafatasında kemik pencere açılır, dura ile kemik arasındaki birikmiş kan hızlıca temizlenir ve kanamaya neden olan damar (çoğunlukla orta meningeal arter) kontrol altına alınır. Amaç, artmış kafa içi basıncını hızla düşürmek ve beyin dokusu üzerindeki basıyı ortadan kaldırmaktır. Kanama boşaltıldıktan sonra kemik flep genellikle tekrar yerine yerleştirilir ve sabitlenir.
Erken tanı ve hızlı cerrahi boşaltım hayat kurtarıcıdır; gecikme durumunda beyin sapı basısı ve ölüm riski ortaya çıkar.
Akut subdural kanama, dura ile araknoid zar arasındaki köprü venlerin yırtılması sonucu gelişir ve genellikle yüksek enerjili travmalar sonrası ortaya çıkar. Beyin dokusuna yaygın hasar sıklıkla eşlik ettiği için mortalitesi epidural hematoma göre daha yüksektir. Hastalarda bilinç kaybı, şiddetli baş ağrısı, kusma, hemiparezi gibi fokal nörolojik defisitler görülebilir. BT’de beyin yüzeyine yayılmış, yarım ay şeklinde (konkav) hiperdens kanama alanı izlenir.
Cerrahi endikasyon; bilinç bozulması, belirgin kitle etkisi, orta hat kayması veya hematom kalınlığının artmasıdır. Tedavide genellikle acil kraniotomi ile hematom boşaltılır, pıhtı temizlenir ve aktif kanama kontrol edilir.
Bazı ağır olgularda beyin ödemi nedeniyle kemik flep geçici olarak çıkarılabilir (dekompresif kraniektomi). Erken müdahale hayat kurtarıcıdır ancak prognoz çoğu zaman travmanın şiddetine bağlıdır.
Kronik subdural hematom, çoğunlukla ileri yaş hastalarda, beyin atrofisine bağlı olarak köprü venlerin daha hassas hale gelmesi sonucunda gelişir. Tipik senaryoda hastanın kan sulandırıcı (aspirin, warfarin, klopidogrel vb.) kullanım öyküsü vardır ve genellikle hafif bir düşme ya da kafa travması tarif eder. Çoğu zaman travma önemsenmez; ancak günler veya haftalar sonra hasta unutkanlık, dalgınlık, denge bozukluğu, kişilik değişikliği, baş ağrısı ya da kol-bacakta güçsüzlük gibi nörolojik bulgularla acil servise başvurur.
Zaman içinde hematom çevresinde gelişen neomembran yapısı tekrarlayan küçük kanamalara neden olarak lezyonun büyümesine yol açabilir. BT görüntülemede genellikle yarım ay şeklinde, beyin dokusuna bası yapan hipodens koleksiyon izlenir. Tedavi çoğu vakada lokal anestezi altında açılan küçük bir kemik deliği (burr-hole) ile hematomun boşaltılması ve dren yerleştirilmesi şeklindedir. Cerrahi sonrası hastalarda sıklıkla hızlı ve belirgin nörolojik düzelme görülür.
Kronik subdural hematom cerrahisi sonrasında hematom boşaltılsa bile beynin yeniden genişleyerek (ekspanse olarak) boşalan alanı doldurması hemen gerçekleşmez; bu süreç genellikle ortalama 3–4 haftayı, yani yaklaşık 1 ayı bulabilir. Özellikle ileri yaş hastalarda ve beyin atrofisi bulunan kişilerde bu genişleme daha yavaş olabilir. Bu nedenle ameliyat sonrası erken dönemde kontrol görüntülemelerinde bir miktar sıvı koleksiyonu görülebilir ve bu durum her zaman nüks anlamına gelmez. Düzenli klinik takip ve kontrol BT incelemeleri ile beynin kademeli olarak eski hacmine yaklaştığı izlenir.
Dekompresif kraniektomi, ağır beyin travması, ağır inme ya da kontrol altına alınamayan beyin ödemi durumlarında uygulanan hayat kurtarıcı bir cerrahi yöntemdir.
Bu işlemde kafatasının bir bölümü geçici olarak çıkarılarak beynin şişmesine yer açılır ve artmış kafa içi basıncı düşürülür. Amaç, beyin sapı basısını ve geri dönüşümsüz hasarı önlemektir. Çıkarılan kemik parçası genellikle uygun koşullarda saklanır ve hasta stabilize olduktan haftalar ya da aylar sonra kranioplasti ile tekrar yerine yerleştirilir. Özellikle medikal tedaviye rağmen basıncı kontrol edilemeyen hastalarda dekompresif kraniektomi, yaşam şansını artıran önemli bir cerrahi seçenektir.
Dekompresif kraniektomi genellikle BT’de belirgin orta hat kayması (shift), bazal sisternlerde silinme ve ciddi beyin ödemine bağlı kitle etkisi görülen hastalarda uygulanır. Bu bulgular, artmış kafa içi basıncının beyin dokusunu karşı tarafa ittiğini ve beyin sapı basısı riskinin oluştuğunu gösterir. Cerrahi sırasında kafatasının bir bölümü çıkarılarak beyne genişleme alanı sağlanır ve bu sayede bası azaltılır, serebral perfüzyon korunur.
Özellikle masif akut subdural hematom olgularında hematom boşaltıldıktan sonra beyin dokusunda ciddi ödem gelişmişse kemik flep hemen yerine konulamayabilir. Bu durumda kemik geçici olarak çıkarılır ve hasta stabilize edildikten haftalar ya da aylar sonra kranioplasti ile tekrar yerine yerleştirilir. Amaç, erken dönemde beyin şişmesine karşı yeterli alan tanıyarak sekonder hasarı önlemektir.
Glasgow Koma Skalası 10 olan hastalar orta dereceli travma grubunda yer alır ve ağır travmalara göre nörolojik iyileşme potansiyelleri daha yüksektir. Bu hastalarda artmış kafa içi basıncı medikal tedaviye rağmen kontrol altına alınamazsa uygulanan dekompresif kraniektomi, beyin dokusunu sekonder hasardan koruyarak prognozu belirgin şekilde iyileştirebilir. Özellikle erken dönemde yapılan cerrahi müdahale, beyin sapı basısını önler, serebral perfüzyonu artırır ve kalıcı nörolojik defisit riskini azaltır. GKS 10 düzeyindeki hastalarda beyin fonksiyonlarının tamamen kaybolmamış olması, cerrahi sonrası fonksiyonel toparlanma şansını artıran önemli bir avantajdır.
Malign MCA enfarktı çoğu zaman tek başına geniş bir beyin yarım küresini etkilerken, bazı olgularda tabloya ICA (Internal Carotid Artery) oklüzyonu da eşlik edebilir. ICA tıkanıklığında hem MCA hem de anterior serebral arter (ACA) sulama alanları etkilenebilir ve ortaya çıkan enfarkt alanı çok daha geniş olur. Bu durum BT’de yaygın hipodens alan, belirgin beyin ödemi, ciddi orta hat kayması (shift), ventrikül basısı ve bazal sisternlerin silinmesi ile kendini gösterir. Klinik olarak hızla bilinç bozulması gelişir ve beyin sapı herniasyonu riski artar.
Medikal tedaviye rağmen kötüleşen bu hastalarda uygulanan dekompresif kraniektomi, artmış kafa içi basıncını azaltarak hayatta kalma şansını artırır. Özellikle erken dönemde yapılan cerrahi, genç ve önceden bağımsız hastalarda mortaliteyi belirgin şekilde düşürür. Ancak ICA düzeyindeki geniş enfarktlar daha büyük beyin dokusu kaybına yol açtığı için fonksiyonel prognoz MCA’ya göre daha ağır olabilir. Buna rağmen uygun hasta seçimi ve zamanında cerrahi müdahale, yaşam kurtarıcı bir seçenek olarak önemini korur.
SAK beynin çevresini saran araknoid boşluklarda meydana gelen ve hayatı tehdit edebilen ciddi bir kanama türüdür. En yaygın nedenlerinden biri kafa travmasıdır ve hafif travmalarda genellikle cerrahi müdahale gerekmeden izlem ile yönetilebilir.
Subaraknoid kanama, özellikle anevrizma adı verilen beyin damarlarındaki baloncukların yırtılması sonucu oluştuğunda çok daha tehlikeli bir tabloya dönüşebilir.
Anevrizma yırtılması genellikle hastaların “hayatındaki en şiddetli baş ağrısı” şikayetiyle acil servise başvurmasıyla kendini gösterir ve çoğu zaman yüksek tansiyon eşlik eder. Bu durum acil BT ve BT anjiyografi ile değerlendirilir; kanayan damar tespit edildikten sonra endovasküler (damar içi koil uygulaması) ya da açık cerrahi (klipleme) yöntemleriyle müdahale edilir.
Tedavi sonrası bazı hastalarda, kan pıhtısının çözülmesiyle tekrar kanama riski oluşabilir. Ayrıca, vazospazm (damar daralması) nedeniyle beyin kanlanması bozulabilir ya da hidrosefali gelişerek beyin sıvısı dengesizliği ortaya çıkabilir. Hidrosefali gelişen durumlarda kalıcı şant ameliyatı gerekebilir.
Subaraknoid kanama sonrası iyileşme süreci, komplikasyon riski yüksek olduğu için dikkatle izlenmeli ve multidisipliner bir ekip tarafından uzun vadeli takiple yönetilmelidir.
Uyanık beyin ameliyatı (awake kraniyotomi), özellikle konuşma, hareket ve görme gibi kritik fonksiyonların bulunduğu alanlara yerleşmiş beyin tümörlerinde tercih edilen ileri bir cerrahi yöntemdir ve işlem genellikle lokal anestezi ve sedasyon eşliğinde gerçekleştirilir. Hastanın ameliyatın belirli aşamalarında uyanık olması sayesinde cerrah, konuşma ve motor fonksiyonları anlık olarak değerlendirerek tümörü güvenli sınırlar içinde çıkarırken kalıcı nörolojik hasar riskini en aza indirir. Bu teknik yalnızca tümör cerrahisinde değil, uygun vakalarda bazı epilepsi ameliyatlarında ve seçilmiş beyin kanaması ya da subdural hematom olgularında da uygulanabilmekte; doğru hasta seçimi ve deneyimli ekip ile hem cerrahi başarı hem de fonksiyonel korunma açısından oldukça başarılı sonuçlar elde edilebilmektedir.
Subdural kanama, özellikle ileri yaş hastalarda sık görülen ve çoğu zaman düşme gibi travmalar sonrası gelişen bir durumdur; bu hastaların önemli bir kısmında eşlik eden kalp, akciğer veya sistemik hastalıklar bulunduğundan genel anestezi riski artabilmektedir. Bu nedenle uygun vakalarda ameliyatın lokal anestezi ve hafif sedasyon altında gerçekleştirilmesi, hastanın solunumunun korunması ve sistemik yükün azaltılması açısından önemli avantaj sağlar. Özellikle kronik subdural hematom cerrahisinde bu yaklaşımın, anesteziye bağlı komplikasyonları azalttığı ve mortalite oranlarını belirgin şekilde düşürdüğü gösterilmiştir; böylece hem daha güvenli bir cerrahi süreç sağlanmakta hem de hastaların ameliyat sonrası toparlanma süreci hızlanmaktadır.
Kronik subdural kanama hakkında ayrıntılı bilgi almak için "Kronik Subdural Kanama" yazımızı mutlaka okuyun...
Beyin ameliyatı sonrası iyileşme süreci, yapılan cerrahi müdahalenin tipi ve beyin dokusunda etkilenme derecesine bağlı olarak değişiklik gösterebilir. Hastalarda ameliyat sonrası yorgunluk, baş ağrısı, denge problemleri, hafıza kaybı ve konsantrasyon bozuklukları sık görülen durumlar arasındadır. Hafıza kaybı bazı hastalarda geçici olurken, bazı bireylerde daha uzun sürebilir. Beyin, plastisite özelliği sayesinde zamanla kendini onarabilir.
Genellikle 4 ila 6 haftalık erken iyileşme döneminden sonra hasta eski fonksiyonlarına kademeli olarak dönebilir. Ancak tam iyileşme süreci 6 aydan bir yıla kadar uzayabilir. Bu süreçte nörolojik takip, fizik tedavi ve psikolojik destek programları büyük önem taşır.
Beyin ameliyatı sonrası dikkat edilmesi gerekenler hakkında daha ayrıntılı bilgi almak için "Beyin Ameliyatı Sonrası Dikkat Edilmesi Gerekenler" adlı yazımızı okuyabilirsiniz.
Beyin ameliyatı fiyatı, cerrahi yöntem, tümörün tipi, hastanenin konumu ve hastanın sigorta kapsamı gibi birçok etkene bağlı olarak farklılık gösterir. Devlet hastanelerinde, SGK kapsamındaki hastalar için bu ameliyatlar ücretsiz olarak gerçekleştirilmektedir ve hastalardan fark ücreti talep edilmez. SGK ile anlaşmalı özel hastanelerde ise fiyatlar, SUT (Sağlık Uygulama Tebliği) esaslarına göre hesaplanmakta; ancak hastanelerin hizmet politikasına bağlı olarak ek fark ücretleri yansıtılabilmektedir.
Tamamlayıcı Sağlık Sigortası, bu fark ücretlerini önemli ölçüde karşılarken, Özel Sağlık Sigortası kapsamında olan hastalar genellikle çok düşük maliyetlerle ya da tamamen ücretsiz şekilde tedavi olabilmektedir. Ameliyat öncesi hastaneden alınacak ayrıntılı bir proforma fatura ile tüm masraflar ve sigorta kapsamı önceden netleştirilerek hasta, tedaviye bilinçli ve güvenli bir şekilde adım atabilir.
Beyin tümörü ameliyatında kraniyotomi yöntemiyle kafatasının bir bölümü açılarak tümöre ulaşılır ve sinirlere zarar vermeden tümörün güvenli şekilde çıkarılması hedeflenir.
Beyin ameliyatı sonrası süreç, hastanın genel durumu ve ameliyatın kapsamına göre önce yoğun bakımda izlemle başlar, ardından taburculuk sonrası fiziksel, zihinsel ve duygusal rehabilitasyonu içeren kademeli bir iyileşme süreciyle devam eder.
Beyin ameliyatı geçiren bir kişinin iyileşme süresi, ameliyatın türüne ve hastanın genel sağlık durumuna bağlı olarak genellikle birkaç haftadan birkaç aya kadar sürebilir.
Beyin ameliyatı, tüm cerrahi işlemlerde olduğu gibi enfeksiyon, kanama ve anesteziye bağlı risklerin yanı sıra nörolojik hasar, felç, konuşma bozukluğu gibi kalıcı komplikasyonlar riski de taşıyan ciddi bir girişimdir.
Kapalı bel fıtığı ameliyatı, mikroskop destekli, milimetrik kesiyle yapılan modern bir yöntemdir. Fıtık dokusu hassas şekilde çıkarılır, hasta aynı gün ayağa kalkar ve kısa sürede günlük hayatına dönebilir.
Beyin ameliyatı, tümörler, damar tıkanıklıkları veya kanama gibi ciddi nörolojik sorunların tedavisinde uygulanan, yüksek hassasiyet ve ileri cerrahi teknolojiler gerektiren bir işlemdir. Bu operasyonlar sırasında beynin hayati bölgeleri titizlikle korunarak, en güvenli müdahale hedeflenir.
Kapalı boyun fıtığı ameliyatı, sinir üzerindeki baskıyı kaldırmak için fıtık dokusunun özel tekniklerle çıkarıldığı, minimal kesiyle yapılan gelişmiş bir operasyondur. Konforlu iyileşme süreci ve hızlı toparlanma avantaj sağlar.
Bel fıtığı ameliyatı sonrası hızlı iyileşme için hastaların doğru pozisyonda dinlenmesi, ağır yüklerden kaçınması ve doktor tavsiyelerine eksiksiz uyması gerekir.
Dar kanal ameliyatı, omurga içerisindeki sinir veya omurilik üzerinde basıya neden olan darlıkları cerrahi müdahaleyle rahatlatmayı hedefleyen bir tedavi yöntemidir. Bu operasyon, hastalarda görülen yürüme zorluğu, uyuşma ve bel ağrısı gibi belirtilerin giderilmesinde yüksek başarı oranına sahiptir.
Bel kayması ameliyatı, omurlar arasındaki dengesizliği düzeltmek ve sinir üzerindeki baskıyı ortadan kaldırmak için yapılan bir cerrahi girişimdir. Amaç, omurgayı sabitleyerek hastanın ağrı ve hareket kısıtlılığı gibi şikayetlerini kalıcı olarak azaltmaktır.
Bel fıtığı, omurlar arasındaki diskin taşarak sinirlere baskı yapması sonucu bel ve bacaklarda ağrı, uyuşma ve hareket kısıtlılığına yol açan yaygın bir omurga hastalığıdır.
Boyun fıtığı ameliyatı, omurga kanalında sinirlere baskı yapan fıtıklaşmış diskin çıkarılarak ağrının ve sinir basısına bağlı şikâyetlerin giderilmesini amaçlar.
Omurga kırığı, omur kemiklerinde travma veya zayıflığa bağlı oluşan kırık sonucu sinir basısına yol açarak şiddetli ağrı, uyuşma ve felç riskine neden olabilen ciddi bir durumdur.
Omurga kırığı ameliyatı, kırık omurun stabilitesini sağlamak ve sinir basısını gidermek amacıyla yapılırken; vertebroplasti, çökme kırığı olan omura kemik çimentosu enjekte edilerek ağrıyı azaltan ve omurgayı güçlendiren minimal invaziv bir yöntemdir.
Dar kanal ameliyatı, omurga kanalındaki sinir sıkışıklığını gidererek hastanın yürüme ve yaşam kalitesini artırmayı amaçkar; vidasız dar kanal cerrahisi omurgaya vida yerleştirilmeden, doğal yapıyı koruyarak yapılan modern bir tedavidir
Boyun fıtığı, boyun omurları arasındaki diskin kayarak sinirlere baskı yapması sonucu ağrı, uyuşma ve güçsüzlüğe neden olur; ilaç ve fizik tedaviye rağmen şikâyetlerin düzelmediği veya ilerleyici sinir basısının görüldüğü durumlarda cerrahi uygulanır.
Kubital tünel sendromu ameliyatı, dirsekteki ulnar sinirin sıkıştığı bölgenin serbestleştirilerek sinir basısının giderilmesini ve eldeki uyuşma ile güçsüzlüğün düzelmesini amaçlayan cerrahi bir işlemdir.
L5-S1 bel fıtığı, bel omurgasının en alt seviyesinde diskin dışarı taşarak siyatik sinire baskı yapması sonucu bel ağrısı, bacak ağrısı, uyuşma ve hareket kısıtlılığına yol açan yaygın bir durumdur.