
2 min
BLOG
Op. Dr. Caner Sarıkaya
Minimal invaziv omurga ameliyatı, omurga hastalıklarının tedavisinde uygulanan, küçük kesilerle gerçekleştirilen ve çevre dokulara minimum zarar veren modern bir cerrahi tekniktir. Halk arasında kapalı ameliyat olarak da bilinen bu yöntem, açık ameliyata göre daha az ağrı, daha az kanama ve daha hızlı iyileşme süreci sunar. Kapalı ameliyat ile açık ameliyat arasındaki fark, esas olarak kesi boyutunda ve iyileşme süresindedir; açık ameliyat geniş kesilerle uygulanırken, kapalı ameliyat birkaç milimetrelik deliklerden yapılır. Bel fıtığı, boyun fıtığı, kanal daralması, bel kayması ve omurga kırığı gibi birçok rahatsızlık bu yöntemle güvenle tedavi edilebilmektedir.
Kapalı ameliyatta da dikiş bulunur ancak bu dikişler genellikle cilt altında küçük ve estetik olacak şekilde yapılır. Hangi yöntemin daha zor olduğu ise yapılan işlemin türüne ve hastanın durumuna göre değişir; bazı ameliyatlar kapalı yöntemle daha konforlu yapılabilirken, bazı durumlarda açık ameliyat tercih edilmek zorunda kalınabilir. Bazı hastalar için kapalı yöntem daha avantajlıyken, karmaşık vakalarda açık ameliyat gerekebilir.Kapalı ameliyat kaç günde iyileşir? Hastalar genellikle 3 ila 7 gün içinde normal hayatlarına dönebilir. Ancak tam iyileşme süresi yapılan ameliyatın türüne bağlı olarak ortalama 2 ila 4 hafta arasında değişmektedir. Kapalı ameliyatta anestezi var mı? Evet, kapalı ameliyatların büyük çoğunluğu genel anestezi altında yapılır. Ancak bazı küçük işlemler, hastanın durumuna göre lokal veya spinal anestezi ile de gerçekleştirilebilir.
Hangi ameliyatlar kapalı olur?
Kapalı ameliyatlar, küçük kesilerle yapılan, iyileşme süresi kısa ve daha az ağrılı cerrahi yöntemlerdir. Özellikle omurga hastalıklarında sıkça tercih edilir. Bel fıtığı ameliyatı, endoskopik ya da mikrocerrahiyle kapalı olarak yapılabilir. Aynı şekilde boyun fıtığı ameliyatı da küçük kesilerle sinir üzerindeki baskıyı giderir. Boyun ve belde kanal darlığı ameliyatları, daralan omurilik kanalını genişletmek için kapalı teknikle uygulanabilir. Omurga kırığı ameliyatı (vertebroplasti, kifoplasti) ise çimento enjeksiyonuyla kırık omurun güçlendirilmesini sağlar. Bel kayması ameliyatı da uygun vakalarda kapalı yöntemle, vida ve platin yerleştirilerek yapılabilir.
Bel fıtığı, omurgalar arasında bulunan disklerin yer değiştirmesi ya da dışarı taşması sonucu sinirlere baskı yapmasıyla oluşan bir rahatsızlıktır. Bel fıtığının belirtileri nasıl olur? Genellikle bel bölgesinde başlayan ağrı, zamanla kalça, bacak ve ayaklara kadar yayılabilir. Uyuşma, karıncalanma, kas güçsüzlüğü ve yürüme zorluğu da sıkça görülen belirtiler arasındadır. Özellikle öksürme, hapşırma veya uzun süre oturma gibi durumlarda ağrının artması yaygındır.
Bel fıtığı en çok nereye vurur? En sık olarak kalçadan başlayıp bacak arkasına, dizin altına ve ayaklara kadar uzanan bir ağrı hissedilir. Bu durum, sinir kökü baskısının tipik bir göstergesidir. Bu ağrı genellikle tek taraflı olur ancak bazı vakalarda her iki bacakta da hissedilebilir. Peki, fıtık olduğunu nasıl anlarız? Sürekli bel ağrısı, bacağa yayılan uyuşma veya güç kaybı gibi belirtiler varsa, fıtık ihtimali yüksektir. En doğru tanı, beyin ve sinir cerrahisi uzmanı tarafından yapılacak fizik muayene ve MR görüntüleme ile konur.
Bel fıtığı ve bel ağrısı nasıl ayırt edilir? Sıradan bel ağrısı genellikle kas kaynaklıdır ve birkaç gün içinde geçebilir. Ancak bel fıtığında ağrı daha şiddetlidir, yayılma gösterir ve genellikle uzun sürelidir. Ayrıca fıtıkta hareket kısıtlılığı, refleks kaybı ve his bozukluğu gibi nörolojik bulgular da görülebilir.
Kapalı bel fıtığı ameliyatı, özel mikro cerrahi aletler ve kamera yardımıyla yapılan, dokuya minimum zarar veren modern bir tedavi yöntemidir. Bu yöntem, genellikle ilaç ve fizik tedaviye rağmen şikayetleri geçmeyen, sinir sıkışması nedeniyle ağrı, uyuşma veya güç kaybı yaşayan hastalara uygulanır. Kapalı bel fıtığı ameliyatı, geleneksel açık ameliyatlara göre daha az invazivdir, bu nedenle enfeksiyon riski düşüktür ve kan kaybı minimaldir. Kapalı bel fıtığı ameliyatı riskli mi? Her cerrahi işlemde olduğu gibi risk içerir; ancak deneyimli ellerde yapıldığında komplikasyon oranı oldukça düşüktür. Ameliyat sonrası iyileşme süreci, genellikle 1 ila 3 hafta arasında değişir. Ağrılar ise, çoğunlukla ilk birkaç gün içinde azalır ve zamanla tamamen geçer. Bel fıtığı ameliyatı sonrası kaç gün istirahat gerekir? Hastanın durumuna göre değişmekle birlikte genellikle 7-10 gün dinlenme önerilir. Ameliyattan sonra nelere dikkat edilmeli? Ağır kaldırmaktan kaçınmak, ani hareketlerden uzak durmak ve doktorun önerdiği fizik tedavi programına sadık kalmak oldukça önemlidir. Bu kurallara uyulduğunda, hastalar kısa sürede sağlıklı bir şekilde günlük yaşamlarına dönebilir.
Bel fıtığı ameliyatı fiyatları hakkında en doğru ve güncel bilgiye ulaşmak için, tedavi olmayı planladığınız hastane ile doğrudan iletişime geçmeniz önerilir.

Boyun fıtığı, omurlar arasındaki disklerin dışa taşarak omurilikten çıkan sinirlere baskı yapması sonucu oluşan yaygın bir rahatsızlıktır. Boyun fıtığı belirtileri nelerdir? En sık görülen belirtiler arasında boyun ağrısı, omuzlara, kollara ve ellere yayılan uyuşma, karıncalanma ve kas güçsüzlüğü yer alır. Ayrıca baş hareketlerinde kısıtlılık ve baş ağrısı da eşlik edebilir.
Boyun fıtığı olan biri ne yapmalı? Öncelikle bir beyin ve sinir cerrahisi uzmanına başvurarak tanı ve tedavi sürecini başlatmalıdır. Hafif vakalarda ilaç tedavisi, fizik tedavi ve yaşam tarzı değişiklikleri yeterli olabilir. Ancak ilerleyen durumlarda cerrahi müdahale gerekebilir.
Boyun fıtığı ne zaman tehlikeli olur? Kollarda ciddi güç kaybı, denge bozukluğu, yürüme zorluğu veya idrar kaçırma gibi belirtiler görülüyorsa, bu durum sinir hasarının ilerlediğini gösterir ve acil müdahale gerektirir. Geç kalınırsa, sinir dokusunda kalıcı hasar oluşabilir.
Boyun fıtığı hangi kolda ağrı yapar? Bu, hangi sinir kökünün etkilendiğine bağlıdır. Genellikle tek taraflı olmakla birlikte, sağ ya da sol kolda omuzdan başlayarak ele kadar yayılan ağrı ve uyuşma hissedilebilir.
Boyun fıtığı ve sinir sıkışması belirtileri nelerdir? Her iki durumda da benzer belirtiler görülür: kol ve el uyuşması, ağrı, karıncalanma, kas gücü kaybı. Ancak sinir sıkışması genellikle tek bir bölgede sınırlı olurken, boyun fıtığı daha yaygın ve ciddi sinir basılarına neden olabilir.
Kapalı boyun fıtığı ameliyatı, küçük kesi yapılarak gerçekleştirilen modern bir tedavi yöntemidir. Bu teknik sayesinde sinire baskı yapan fıtıklaşmış disk materyali çıkarılır ve çevre dokulara zarar verilmeden işlem tamamlanır. Boyun fıtığı ameliyatı riskli midir? Her ameliyat belirli riskler taşır; ancak kapalı yöntemle yapılan boyun fıtığı ameliyatlarında komplikasyon oranı oldukça düşüktür. “Boyun fıtığı ameliyatı felç bırakır mı?” sorusu ise hastaları en çok endişelendiren konulardan biridir; deneyimli bir ekip tarafından uygulandığında bu risk son derece düşüktür. Boyun fıtığı ameliyatı kesin çözüm mü? Genellikle başarılı sonuçlar alınır ve hastaların büyük çoğunluğunda şikayetler tamamen ortadan kalkar. Ancak sağlıklı yaşam alışkanlıkları sürdürülmezse, zamanla yeni fıtık oluşumu görülebilir.
Boyun fıtığı ameliyatı sonrası iyileşme süreci, hastanın yaşına, genel sağlık durumuna ve ameliyatın kapsamına göre değişmekle birlikte ortalama 2 ila 4 hafta sürer. Fıtık ameliyatı sonrası kaç gün yatılır? Genellikle hasta aynı gün ya da ertesi gün taburcu edilir; ancak ilk birkaç gün evde istirahat önerilir. İyileşme sürecinde ağır kaldırmaktan kaçınmak, doğru duruş alışkanlıklarını benimsemek ve doktorun tavsiyelerine uymak, uzun vadede başarıyı artırır.
Boyun fıtığı ameliyatı fiyatları; uygulanacak cerrahi yönteme göre değişiklik gösterebilir. Bu nedenle boyun fıtığı ameliyatı ücretleri hakkında en doğru bilgiye ulaşmak için, tedavi olmayı düşündüğünüz hastane ile birebir iletişime geçmeniz en sağlıklı yoldur

Boyunda kanal daralması (servikal spinal stenoz), omuriliğin geçtiği kanalda daralma meydana gelmesiyle sinir yapılarının baskı altında kalmasına yol açan ciddi bir omurga problemidir. Boyunda kanal daralması belirtileri nelerdir? En yaygın belirtiler arasında boyun ağrısı, omuzlara ve kollara yayılan uyuşma, karıncalanma hissi, kas güçsüzlüğü, denge kaybı ve yürüme zorluğu yer alır. Bazı vakalarda ince motor becerilerde bozulma (örneğin düğme ilikleyememe) de görülebilir.
Kanal daralması nerelere vurur? Boyun bölgesindeki daralma, sinir yolları aracılığıyla omuz, kol, el ve parmaklara kadar ağrı veya his kaybı şeklinde yansıyabilir. İlerlemiş durumlarda bacaklarda uyuşma ve yürüme bozuklukları da ortaya çıkabilir.
Boyunda kanal daralması tehlikeli midir? Evet, özellikle tedavi edilmediğinde ciddi sinir hasarlarına, felç riskine ve yaşam kalitesinde belirgin düşüşe yol açabilir. Bu nedenle erken teşhis ve uzman bir doktor kontrolünde tedavi sürecine başlamak son derece önemlidir.
Boyun daralması ameliyatı riskli mi? Her cerrahi işlemde olduğu gibi risk taşır; ancak gelişmiş tekniklerle ve deneyimli cerrahlar tarafından yapıldığında komplikasyon oranı düşüktür. Boyun ameliyatı tehlikeli mi? sorusunun yanıtı, hastanın genel sağlık durumu ve ameliyatın kapsamına göre değişse de, modern yöntemlerle yapılan ameliyatlar güvenli kabul edilir. Boyunda kanal daralması ameliyatsız tedavi edilir mi? Hafif vakalarda fizik tedavi, ilaçlar ve yaşam tarzı değişiklikleri ile belirtiler hafifletilebilir; ancak ilerleyen durumlarda cerrahi müdahale gerekebilir. Boyun kanal daralması ameliyatı nasıl yapılır? Genellikle mikroskobik tekniklerle daralmış bölge genişletilir, sinirlerin üzerindeki baskı kaldırılır. Bu işlem, hem önden hem de arkadan cerrahi girişimle yapılabilir. Kanal daralması ameliyatı kaç gün hastanede yatılır? Hastanın durumuna bağlı olarak 1 ila 3 gün arasında hastanede yatış süresi gerekebilir. Ameliyat sonrası düzenli takip ve önerilen egzersizlerle iyileşme süreci desteklenmelidir.
Uygulanacak ameliyatın türü, hastanenin yapısı ve sigorta kapsamı gibi etkenler fiyatları etkiler. Boyun kanal darlığı ameliyatı fiyatı hakkında en güncel ve doğru bilgiyi almak için, tedavi olmayı planladığınız sağlık kurumu ile doğrudan görüşmeniz en doğru adım olacaktır.

Kanal daralması (spinal stenoz), omurga kanalının daralması sonucu sinirler üzerinde baskı oluşmasına neden olan ciddi bir rahatsızlıktır. Kanal daralması tehlikeli midir? Evet, ilerleyen durumlarda sinir hasarına, yürüme bozukluklarına ve yaşam kalitesinde ciddi düşüşe yol açabilir. Özellikle beldede kanal daralması, uzun süre tedavi edilmezse kalıcı sinir zedelenmeleri, idrar tutamama gibi komplikasyonlara neden olabilir.
Kanal daralması ağrısı nereye vurur? Genellikle bel, kalça, bacak ve ayaklara kadar yayılan ağrılar görülür; uzun süre ayakta durmak veya yürümekle şiddetlenebilir. Peki, kanal daralması ile fıtık aynı şey mi? Hayır, fıtık omurga disklerinin dışa taşmasıyken, kanal daralması sinir kanalının genel bir daralmasıdır; ancak benzer belirtiler gösterebilirler. Kanal darlığı nasıl anlaşılır? Sürekli bel ağrısı, bacaklarda uyuşma, yürüme zorluğu, ayakta durunca artan rahatsızlık gibi belirtilerle ortaya çıkar.
Kanal daralmasının ameliyatsız çözümü var mı? Hafif vakalarda fizik tedavi, ağrı kesiciler, egzersiz ve yaşam tarzı düzenlemeleriyle belirtiler kontrol altına alınabilir. Beldeki kanal daralmasına ne iyi gelir? Düzenli yürüyüş, yüzme, duruş düzeltici egzersizler ve fizyoterapist eşliğinde yapılan germe hareketleri ağrıyı azaltabilir. Kanal daralmasına hangi hareketler iyi gelir? Özellikle pelvik tilt, diz göğse çekme ve kedi-inek pozisyonu gibi omurga esnetici hareketler faydalıdır
Kapalı kanal daralması ameliyatı, yani minimal invaziv spinal dekompresyon, omurga kanalındaki daralmanın küçük kesilerle giderildiği modern bir cerrahi yöntemdir. Bu teknikte, özel mikroskop ve endoskoplar kullanılarak ciltte 1-2 cm'lik küçük bir kesi yapılır ve daralmaya neden olan kemik ya da yumuşak dokular çıkarılır. Kas dokularına minimum zarar verilerek uygulanan bu yöntem, kan kaybını ve enfeksiyon riskini azaltır. Kapalı kanal daralması ameliyatı, hastaların daha kısa sürede ayağa kalkmasını ve günlük yaşantısına dönmesini sağlar. Uygun hastalarda, bu teknikle omuriliğe ve sinirlere uygulanan baskı başarılı şekilde ortadan kaldırılır.
Kanal daralması ameliyatı tehlikeli midir? Cerrahi müdahale her zaman belirli riskler taşısa da, modern teknikler ve deneyimli cerrahlarla yapıldığında güvenli kabul edilir. Kanal daralması ameliyatının riskleri arasında enfeksiyon, kanama, sinir hasarı ve nadiren kalıcı sinir problemleri yer alabilir. Ancak bu riskler oldukça düşüktür. Kapalı Kanal daralması ameliyatı kaç saat sürer? Cerrahinin türüne göre değişmekle birlikte genellikle 1,5 ila 3 saat arasında sürebilir.
Kanal daralması (spinal stenoz) ameliyatı, uygulanacak yönteme ve hastanın durumuna göre fiyatlandırılır. SGK anlaşması, özel sağlık sigortası veya tercih edilen cerrahi teknik gibi birçok faktör ücretleri etkiler. En güncel ve doğru kanal darlığı ameliyatı fiyatı için, başvuru yapmayı planladığınız hastaneden doğrudan bilgi almanız önerilir.

Vertebra osteoporoz, omurgadaki kemik dokusunun yoğunluğunun azalmasıyla kemiklerin zayıflaması ve kırılgan hale gelmesi durumudur. Bu süreç genellikle yaşa bağlı gelişir ve kadınlarda menopoz sonrası daha sık görülür. Bu durumun ilerlemesiyle birlikte osteoporotik fraktür, yani kemik yoğunluğu azalmış omurlarda kırıklar oluşabilir. Özellikle düşme gibi küçük travmalarla bile kolayca oluşabilen bu kırıklar, yaşam kalitesini ciddi şekilde etkileyebilir. Doktorların sıkça kullandığı "osteoporoz kırık riski yüksektir" ifadesi, kemiklerin dayanıksız hale geldiğini ve kırılma olasılığının yüksek olduğunu gösterir.
Osteoporoz en çok omurga, kalça ve el bileği gibi taşıyıcı kemikleri etkiler. Bu bölgelerde oluşan kırıklar ciddi sağlık problemlerine neden olabilir. Osteoporoz kırıkları nasıl tedavi edilir? Genellikle yatak istirahati, ağrı kesiciler, korse kullanımı ve fizik tedavi ile başlanır. Ancak ciddi omurga kırıklarında cerrahi yöntemlere başvurulabilir. Özellikle omurga kırığı ameliyatı riskli gibi görünse de, modern yöntemlerle bu riskler oldukça azaltılmıştır. Ameliyat sonrası iyileşme süreci genellikle birkaç hafta sürer. Omurga ameliyatı sonrası nasıl yatılır? Sırt üstü yatmak ve ortopedik destek yastıkları kullanmak önemlidir. Ayrıca, doktorun önerdiği hareket kısıtlamalarına uymak iyileşmeyi hızlandırır.
Bu tür kırıkların tedavisinde sıkça uygulanan işlemlerden biri de vertebroplasti ameliyatıdır. Bu işlemde zayıflamış veya kırılmış omura özel bir kemik çimentosu enjekte edilir. Vertebroplasti ameliyatı nasıl yapılır? Lokal veya hafif genel anestezi altında, cilt üzerinden ince bir iğne ile omur içine girilerek çimento uygulanır. İşlem genellikle 30 dakika ila 1 saat sürer. Vertebroplasti ameliyatı sonrası, hastalar genellikle aynı gün ayağa kalkabilir ve kısa sürede günlük aktivitelerine dönebilir. Ancak birkaç gün ağır kaldırmaktan kaçınmak gerekir.
Vertebroplastiye benzer bir işlem olan kifoplasti, omur içine balon yerleştirilerek çökük bölge genişletilir ve ardından kemik çimentosu uygulanır. Kifoplastinin endikasyonları, yani yapılma nedenleri arasında osteoporotik omur kırıkları, travmatik omurga çökmeleri ve bazı tümör kaynaklı omur zayıflamaları yer alır. Kemik çimentosu genellikle birkaç saat içinde sertleşir, ancak kemik dokusuna tam uyum sağlaması ve çevreyle bütünleşmesi birkaç gün sürebilir.
Omurga kırığı tedavisinde uygulanan vertebroplasti, kifoplasti veya stabilizasyon gibi cerrahi işlemlerin fiyatları büyük ölçüde yönteme ve hastanenin koşullarına bağlıdır. Bu nedenle omurga kırığı ameliyatı, vertebroplasti, kifoplasti maliyeti konusunda en doğru bilgiye ulaşmak için, doğrudan operasyon planladığınız sağlık kuruluşu ile iletişime geçmeniz gerekir.

Size Nasıl Ulaşabilirsiniz?
Hastanemize Marmaray ve Kadıköy-Sabiha Gökçen metrosu ile kolayca ulaşım sağlayabilirsiniz. Tam donanımlı ameliyathanelerimiz ve 3. basamak yoğun bakım hizmetimiz sayesinde, kompleks hastalıkların tanı ve tedavisini başarıyla gerçekleştirmekteyiz.
Hastanemiz; Sosyal Güvenlik Kurumu (SGK), Özel Sağlık Sigortası (ÖSS) ve Tamamlayıcı Sağlık Sigortası (TSS) kapsamında anlaşmalara sahiptir. Bel fıtığı, boyun fıtığı, kanal darlığı, osteoporoza bağlı omurga kırığı tedavisi ve ameliyat ücretleri hakkında bilgi almak için bizimle iletişime geçebilirsiniz.
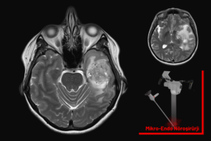
Beyin tümörü ameliyatı, beynin içindeki tümörlü dokunun çıkarılarak sağlıklı beyin fonksiyonlarının korunmasını ve hastanın yaşam kalitesinin artırılmasını amaçlayan hassas bir cerrahi işlemdir.
Karpal tünel sendromu, el bileğindeki sinir sıkışması nedeniyle elde uyuşma, ağrı ve güçsüzlüğe yol açan yaygın bir sinir sıkışma hastalığıdır.
Kubital tünel sendromu, dirsekteki ulnar sinirin sıkışması sonucu elde özellikle serçe ve yüzük parmaklarında uyuşma, karıncalanma ve güç kaybına neden olan bir sinir sıkışması hastalığıdır.
Bel fıtığı ameliyatı, sinir köklerine baskı yapan disk parçasının çıkarılmasıyla ağrıyı, uyuşmayı ve güçsüzlüğü ortadan kaldırmayı amaçlayan bir cerrahi işlemdir. Genellikle mikrocerrahi ya da endoskopik yöntemlerle yapılır ve bu sayede küçük kesilerle, daha az doku hasarı oluşturarak hızlı iyileşme sağlanır
Boyun fıtığı ameliyatı, sinirlere veya omuriliğe baskı yapan disk materyalinin çıkarılmasıyla ağrı, uyuşma ve güçsüzlüğün giderilmesini amaçlayan cerrahi bir yöntemdir.
Beyin tümörü ameliyatı, tümörün çıkarılırken sağlıklı beyin dokusunun korunmasına özen gösterilen hassas bir cerrahi işlemdir.
Devamını Oku…
Bel fıtığı, omurlar arasındaki disklerin zamanla yıpranıp dışarı taşarak sinir köklerine baskı yapması sonucu oluşur.
Boyun fıtığı, servikal omurlar arasındaki diskin yapısının bozulup dışarı taşması ve omurilik ya da sinir köklerine baskı yapmasıyla oluşur.
Dar kanal ameliyatı, omurilik ve sinirler üzerindeki baskıyı azaltmak için omurga kanalının cerrahi olarak genişletilmesi işlemidir.
Omurga kırığı, travma veya kemik zayıflığı sonucu omur bütünlüğünün bozulmasıyla ortaya çıkar. Omurga kırığı ameliyatı gerekmesi durumunda vida, plaka veya çimentolama yöntemleriyle cerrahi olarak tedavi edilir.
Boyun fıtığı ameliyatı, modern tekniklerle genellikle güvenli bir şekilde yapılsa da her cerrahi işlemde olduğu gibi enfeksiyon, kanama veya sinir hasarı gibi bazı riskler barındırır. Deneyimli cerrahlar tarafından uygun hasta seçimiyle yapıldığında başarı oranı oldukça yüksektir.
Dar kanal ameliyatı, omurga kanalını genişleterek sinir baskısını gideren ve omurga stabilitesini koruyan cerrahi bir yöntemdir.
Bel fıtığı ameliyatı olan kişiler çoğunlukla aynı gün taburcu olabilir ve ortalama 2-3 gün içinde işine dönebilir.
Bel kayması ameliyatı sonrası iyileşme süresi genellikle 10 gün ile 3 hafta arasında değişir, ancak hastaların günlük aktivitelere dönüşü cerrahi tekniğe ve kişisel iyileşme hızına bağlı olarak farklılık gösterebilir.
Vertebroplasti ameliyatı, kırık omura özel kemik çimentosu enjekte edilerek ağrının azaltıldığı ve omurun güçlendirildiği minimal invaziv bir yöntemdir.
